痤疮的症状
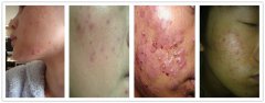
痤疮的症状通常呈圆锥形的小红疙瘩,有的有黑头,也称“粉刺”、“暗疮”,由于多发于青春期,俗称“青春痘”。但是中青年也常有发生,多见于面部及胸、背、肩等部位,是发生在毛囊皮脂腺的慢性皮肤病。本文汕头肤康皮肤病医院医师介绍关于痤疮的症状、类型等相关知识。

》》》更多痤疮问题,可在线咨询我院医师《《《
痤疮的症状
一、痤疮的几种常见类型
1、丘疹性痤疮:痤疮炎症可继续发展扩大并深入,表现为炎性丘疹和黑头粉刺者称丘疹性痤疮。
2、粉刺性痤疮:初发者有白头和黑头粉刺两种。白头粉刺又称闭合性粉刺,为皮色丘疹,开口不明显,不易挤出;黑头粉刺又称开放性粉刺,位于毛囊口的顶端,可挤出,叫硬脂栓。
3、囊肿性痤疮:表现以大小不等的皮脂腺囊肿内含有带血的粘稠脓液,破溃后可形成窦道及瘢痕称囊肿性痤疮。
4、脓包性痤疮:表现以脓包和炎性丘疹为主者称为脓包性痤疮。
5、结节性痤疮:脓包性痤疮漏治误治以后,可以发展成壁厚,大小不等的结节,位于皮下或高于皮肤表面,呈淡红色或暗红色,质地较硬,称为结节性痤疮,又称硬结性痤疮。
6、聚合性痤疮:数个痤疮结节在深部聚集融合,有红肿颜色青紫,称为融合性痤疮或聚合性痤疮。
7、萎缩性痤疮:丘疹或脓疱性痤疮破坏腺体而形成凹坑状萎缩性瘢痕者,称萎缩性痤疮。
痤疮是一种常见的毛囊皮脂腺炎症性碍容性皮肤病,因为长在脸上,痤疮也就成了多数患者的心病。不过,广大痤疮患者不必忧虑,目前我们可以采用治疗方法治疗痤疮,实现内分泌的调理与体内雄性激素的平衡,以达到兼治的功效。只要患者坚持治疗,痤疮一般都是可以治疗的。
优势一内外结合,兼治,治疗减少复发;优势二清除青春痘,祛除痘疤,光洁肌肤;优势三见效快,无激素、无刺激,副作用小。
![]()
点一点,知道更多信息
快速挂号通道,预约先人一步
温馨提示:本网站已加密,您的隐私安全,就诊前通过手机预约可免排队等候,到院优先就诊。



返回首页
在线咨询
接通医师